• About the University
  • General Policy
  • Teaching
  • Excellence in research
  • Community Services
  • International
  • University structure
  • Rectorate
  • Statistics
  • History
  • Sciences
  • Medicine
  • Humanities
  • Social Sciences
  • Economics and Management
  • Law
  • Theology
  • Psychology and Educational Sciences
  • Translation and Interpreting
  • Centres and Institutes
  • Admission
  • Student Exchange
  • Bachelor Programs (in French)
  • Master Programs
  • Library
  • Campus Life
  • Help UNIGE
  • Continuing & distance education
  • Geneva Summer Schools
  • Accommodation Office
  • Community Services
  • Campus Accessibility
  • Library
  • Archive ouverte
  • Media and Communication
  • Teaching services
  • University structure
  • Welcome center
  • Help UNIGE
  • Health and Safety
University of Geneva
  • University
  • Faculties
  • Students
  • Services
  • FR
  • EN
  • Portal
  • Choose language

    • FR
    • EN
Faculty of Medicine Faculty of Medicine
  • FACULTY
  • TEACHING
  • RESEARCH
  • PUBLIC OUTREACH
  • AGENDA
  • CONTACT INFORMATION
  • Who we are
  • Organisation
  • Dean's Office
  • HR & Careers
  • Partnerships
  • Environmental sustainability
  • Institutes and centres
  • Postgraduate education
  • Continuing Education
  • Clinical medicine
  • Fundamental Medicine
  • Dental Medicine
  • Core facilities
  • SmartLab-eLabNext
  • Media
  • Newsletter
  • Our activities at a glance
  • Students & Teaching Administration
  • Administration & Dean's Office
  • Sections and Departments
  • Conflicts and integrity
  • Where to find us
PUBLIC OUTREACH

Navigation

  • 171 new physicians and dentists

Media

  • Published on 26 Sept 2024

    Programming cells to target brain tumours

    CdP_260924_Migliorini_bandeau_750x329.jpg
  • Published on 24 Sept 2024

    A new rare genetic disease identified

    webbanner_katanaev_science.png
  • Published on 23 Sept 2024

    Complex genetic programmes at the root of our movements

    CdP_Jabaudon_230924_bandeau_750x329.jpg
  • Published on 16 Sept 2024

    Our state of attention is shaped by a handful of neurons

    zerbi_webbanner.jpg
  • Published on 9 Sept 2024

    Detecting DNA knots to inhibit pathogens

    Diman_bandeau_750x329.jpg
  • Published on 3 Sept 2024

    A patient in remission from HIV infection since 32 months

    webbanner_vih_calmy.png
  • Published on 3 Sept 2024

    Insulin cells don’t need to team up

    CdP_Herrera_030924_bandeau_750x329.jpg
  • Published on 30 Aug 2024

    A child with a rare genetic disease treated with zinc

    webbanner_zinc.png
  • Published on 25 Jul 2024

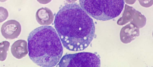
    Fighting leukaemia by targeting its stem cells

    CdP_Tamburini_240724_bandeau_750x329.jpg
  • Published on 22 Jul 2024

    An over- or under-synchronised brain may predict psychosis

    CdP_Eliez_220724_bandeau_750x329.jpg
  • Published on 17 Jul 2024

    «Paleolithic» diets are not without risks

    CdP_170724_Maechler_bandeau_750x329.jpg
  • Published on 2 Jul 2024

    Why schizophrenia and apathy go hand in hand

    CdP_020724_bandeau_750x329.jpg
  • ← Previous
  • 1
  • 2
  • 3
  • 4
  • 5
  • 6 (current)
  • 7
  • 8
  • 9
  • …
  • 15
  • Next →

Contact 

Faculty of Medicine Communications Office
facmed(at)unige.ch

UNIGE media office
media(at)unige.ch


Archives
  1. All
  2. 2025
  3. 2024
  4. 2023
  5. 2022
  6. 2021
  7. 2020
  8. 2019
  9. 2018
  10. 2017
  11. 2016
  12. 2014
  13. 2013
  14. 2012
  15. 2009
  16. 2007

Faculty of Medicine

  • Rue Michel Servet 1
    CH-1211 Genève 4
    T. +41 22 379 71 11
  • Contact & Access
  • Welcome Desk & Deliveries
    7h00 - 19h00
    T. + 41 22 379 59 00

Students

  • Human Medicine
  • Dental Medecine
  • Medical Science
  • Contacts
  • Library
  • Atrium area

Staff

  • HR & Careers
  • Operational Services
  • Core Facilities
  • Faculty Structures

Media

  • Newsletter
  • Press

Partner Institution

  • University Hospitals of Geneva

University of Geneva

  • 24 rue du Général-Dufour
    1211 Genève 4
    T. +41 (0)22 379 71 11
    F. +41 (0)22 379 11 34
  • Campus Accessibility
  • University Calendar

Enroll at UNIGE

  • Applications
  • Study-related formalities (in French)
  • Ask a question

Contact

  • Media
  • Library
  • University Structures

Social Media

Accreditation

Accreditation

University of Geneva
  • University
    • About the University
    • General Policy
    • Teaching
    • Excellence in research
    • Community Services
    • International
    • University structure
    • Rectorate
    • Statistics
    • History
  • Faculties
    • Sciences
    • Medicine
    • Humanities
    • Social Sciences
    • Economics and Management
    • Law
    • Theology
    • Psychology and Educational Sciences
    • Translation and Interpreting
    • Centres and Institutes
  • Students
    • Admission
    • Student Exchange
    • Bachelor Programs (in French)
    • Master Programs
    • Library
    • Campus Life
    • Help UNIGE
    • Continuing & distance education
    • Geneva Summer Schools
    • Accommodation Office
  • Services
    • Community Services
    • Campus Accessibility
    • Library
    • Archive ouverte
    • Media and Communication
    • Teaching services
    • University structure
    • Welcome center
    • Help UNIGE
    • Health and Safety
  • FACULTY
    • Who we are
    • Organisation
    • Dean's Office
    • HR & Careers
    • Partnerships
    • Environmental sustainability
    • Institutes and centres
  • TEACHING
    • Postgraduate education
    • Continuing Education
  • RESEARCH
    • Clinical medicine
    • Fundamental Medicine
    • Dental Medicine
    • Core facilities
    • SmartLab-eLabNext
  • PUBLIC OUTREACH
    • Media
    • Newsletter
    • Our activities at a glance
  • AGENDA
  • CONTACT INFORMATION
    • Students & Teaching Administration
    • Administration & Dean's Office
    • Sections and Departments
    • Conflicts and integrity
    • Where to find us