RESEARCH
RESEARCH
Background
Cell-cell junctions are of crucial importance in the development of multicellular organisms and in the function of adult organs, through their roles in cell-cell recognition and adhesion, and in the creation and maintenance of tissue barriers. In addition, junctions orchestrate essential signaling functions, to regulate growth, proliferation and morphogenesis.
In epithelial cells of vertebrate organisms, the junctional complex comprises tight junctions (TJ), adherens junctions (AJ) and desmosomes. TJ are critically involved in the establishment and maintenance of tissue barriers, and function as signaling hot-spots for the regulation of junction assembly, the establishment of cell polarity, and the control of Rho family GTPase activities. AJ are linked to the actomyosin cytoskeleton, which is remodeled during epithelial differentiation and polarization, and participates in junction regulation, largely modulated by small GTPases of the Rho family. TJ are essential in the function of all epithelial tissues, since they allow epithelia and endothelia to create compositionally distinct fluid compartments, by acting as selective permeability barriers to ions, morphogens, growth factors, solutes and pathogens. Since TJ contain evolutionarily conserved protein complexes involved in the development of apico-basal polarity, they also act as targets and effectors of signalling pathways that control epithelial morphogenesis. Loss of epithelial polarity and tissue architecture can be a primary diagnostic feature of malignant carcinomas, highlighting the intimate connection between cell-cell interactions and cell proliferation, growth and differentiation in epithelia.
The molecular composition of tight junctions
TJ are sites of intimate cell-to-cell interaction, and its molecular constituents are transmembrane proteins, cytoplasmic proteins, and the cytoskeleton (Fig. 1). The transmembrane proteins of TJ include 4-membrane pass proteins (occludin, tricellulin, MarvelD3 and claudins) and Ig-like adhesion molecules (JAM, ESAM, CAR). Claudins constitute the TJ fibrils seen in TJ by freeze-fracture electron microscopy, and form the size- and charge-selective paracellular "pores" through which small solutes flow. Among cytoplasmic plaque proteins of TJ, there are scaffolding proteins, which anchor TJ membrane proteins, cytoskeletal adaptors, signalling proteins and transcription factors. Evolutionarily conserved protein complexes that play primary roles in the establishment of apico-basal and anterior-posterior polarity in invertebrates (Par3/Par6/aPKC and PALS1/PATJ/Crumbs) are also localized at vertebrate TJ. However, little is known about the specific role of each individual TJ plaque component not only in the paracellular barrier function of TJ, but especially in signalling and transcriptional regulation.

Figure 1 (modified from Guillemot et al. BBA 2008). Schematic diagram depicting the molecular organization of vertebrate tight junctions.
Cingulin and paracingulin: cytoskeleton-associated regulators of signaling in epithelial cells
Our laboratory is focusing on the functional characterization of two cytoplasmic TJ proteins, cingulin and paracingulin (also known as JACOP or CGNL1), and their interacting proteins. Cingulin and paracingulin are dimers of two subunits, each consisting of a globular N-terminal "head" domain and an alpha-helical C-terminal domain, which forms a coiled-coil “rod”.
Cingulin interacts with actin, myosin and several TJ proteins (Cordenonsi et al, 1999), and is recruited to TJ via interaction with ZO-1, through the ZIM region (D’Atri et al, 2002). We have recently identified two key protein interactions of paracingulin. Paracingulin is recruited to TJ through interaction of its ZIM domain with ZO-1, and is recruited to AJ through interaction of its head domain with the newly discovered protein PLEKHA7 (Pulimeno et al, 2010, Pulimeno et al, 2011) (Figure 2). Unlike paracingulin, which is not only present at TJ, but also at adherens junctions, cingulin is TJ-specific, and expressed almost exclusively in TJ-bearing epithelia and endothelia.

Figure 2 (modified from Citi et al Ann. NY Acad. Sci. 2012). Domain organization of cingulin and paracingulin, and their interacting partners at TJ and AJ. Regions in red boxes indicate interacting domains and arrows indicate interactions. The dotted lines above the rod domains of CGN and CGNL1 indicate regions of interactions with GEFs.
Our work has elucidated some key aspects of the functions of cingulin and paracingulin. Targeting cingulin alleles in cultured ES cells provided direct evidence that cingulin is involved signaling pathways that control gene expression, but not in a control of TJ organization (Guillemot et al, 2004). Specifically, cingulin KO in ES cells results in changes in the expression of >1000 genes, including the TJ proteins claudin-2, claudin-6, claudin-7 and occludin. Cingulin knockdown in MDCK cells also results in changes in gene expression and cell proliferation (Guillemot et al, 2006, Citi et al, 2009). One mechanism by which cingulin regulates gene expression is by interacting with and inhibiting the Rho activator GEF-H1, resulting in decreased RhoA activity in confluent monolayers (Aijaz et al, 2005; Guillemot and Citi, 2006). Interestingly, paracingulin also downregulates RhoA activity in confluent monolayers, by recruiting and inhibiting GEF-H1 (Guillemot et al, 2008). However, in addition to regulating RhoA activity in confluent monolayers, paracingulin also regulates Rac1 activity during the formation of cell-cell junctions (but not at confluence). We showed that paracingulin depletion blocks Rac1 activation during junction formation, by decreasing the recruitment of the Rac1 activator (GEF) Tiam1 to junctions. Furthermore, we showed that both cingulin and paracingulin interact with the centralspindlin complex protein MgcRacGAP, and recruit it to TJ (Guillemot et al, 2014). regulation of Rac1 activation at TJ by MgcRacGAP affects the development of the TJ barrier, highlighting a new mechanism through whichi cingulin and paracingulin can control TJ assembly. In summary, cngulin and paracingulin are therefore emerging as key regulators of Rho-family GTPases, through interaction with different GEFs and GAPs. We hypothesize that changes in cingulin and paracingulin levels occurring in differentiating cells affect RhoA family GTPases and downstream events, such as junction assembly, cytoskeletal organization, gene expression and cell proliferation, and thus may influence the development and function of mature tissues, as well as their response to pathological stimuli.
We have characterized the phenotype of cingulin KO mice (Guillemot et al, 2012), and shown that some epithelial tissues show an increase in the expression of claudin-2, similar to what observed in cultured kidney cells and embryoid bodies (Guillemot et al, 2004, 2006). In addition, the duodenum of cingulin KO mice shows an exacerbated response to the ulcerogenic action of cysteamine, suggesting that cingulin participates in signaling pathways that regulate protection of epithelia from acute chemical injury, or repair after injury.
We also showed that in MDCK cells cingulin and paracingulin regulate the expression of claudin-2 by different Rho-dependent and Rho-independent mechanisms, which act on the transcription factor GATA-4 (Guillemot et al, 2013) (Figure 3).
Zonular junctions are a signalling hub, and we showed (Spadaro et al., JBC 2014), using knock-out and knock-down cells, that the junctional localization and stability of the transcription factor DbpA/ZONAB is not regulated only by ZO-1, as proposed by previous models, but redundantly by the three ZO proteins (ZO-1, ZO-2 and ZO-3). In contrast, depletion/KO of ZO proteins does not affect the nuclear shuttling of DbpA, whereas only depletion of ZO-2 affects the nuclear shuttling of the transcription factor YAP.

Figure 3 (modified from Spadaro et al, Essays Biochem. 2012). Scheme of tight junction proteins implicated in signaling to the nucleus through different transcription factors. CGN and CGNL1 regulate claudin-2 expression throuh both Rho-dependent and Rho-independent pathways, and through GATA-4 (Guillemot et al, 2013). ZO proteins (ZO-1, ZO-2, ZO-3) redundantly regulate the transcription factor DbpA/ZONAB (Spadaro et al., 2014).
PLEKHA7: a novel adherens junction protein that interacts with paracingulin
We discovered a novel AJ protein, PLEKHA7, through its interaction with the head domain of paracingulin (Pulimeno et al, 2010: Pulimeno et al, 2011) (Figure 2). PLEKHA7 is part of a new protein complex that links E-cadherin to the minus ends of microtubules (Meng et al, 2008). We established, based on detailed imunofluorescence analysis of tissues and cells, and immunoelectron microscopy, that PLEKHA7 is specifically localized at AJ belts, and not along lateral contacts, and that PLEKHA7 has tissue distribution and subcellular localization different from either the TJ protein ZO-1, and the "classical" AJ proteins E-cadherin, p120ctn and alpha- and beta-catenins (Pulimeno et al, 2010). PLEKHA7 interacts directly with paracingulin, and is required to recruit paracingulin to junctions in MDCK cells (Pulimeno et al, 2011).
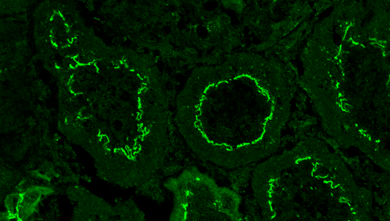
Genome-wide association analyses have implicated PLEKHA7 in the pathogenesis of high blood pressure (Levy et al, Nature Genetics 2009) and primary angle closure glaucoma (Vithana et al, Nature Genetics 2012). Considering that PLEKHA7 is expressed in different eye tissues (Figure 4), these observations raise interesting questions and perspectives for future studies. To address the potential role of PLEKHA7 in regulaitng the barrier function of tissues that may be implicated in the generation of high intraocular pressure, we examined the effect of inducible overexpression of PLEKHA7 on the barrier function of MDCK cells (Paschoud et al, 2014). Our results indicate that PLEKHA7 stabilized the TJ barrier function by stabilizing the E-cadherin associated complex of proteins at the ZA, through its interaction with microtubules (Paschoud et al, 2014). In work published in August 2015, we and collaborators have addressed the role of PLEKHA7 in cancer. We found that the expression fo PLEKHA7 is dramatically reduced, or undetected, in high grade ductal mammary carcinomas (see micrographs in Fig. 4: p120ctn in red, PLEKHA7 in green), and in lobular aggressive carcinomas, even in instances when either p120-catenin (an interactor of PLEKHA7) and/or E-cadherin were still expressed (Tille et al, PlosONE 2015). Dr. Antonis Kourtidis, in the laboratory of Dr. Panos Anastasiadis, in collaboration with us and other co-authors, showed that p120-catenin can exist in two complexes, one associated with PLEKHA7 at the zonula adhaerens, which could have a role as a tumor suppressor, and one “free” from PLEKHA7, which could instead help the progression of cancer. Furthermore, Dr. Kourtidis showed that components of the miRNA processor are found at the junction, thereby regulating the activity of a specific set of miRNA, which control cell proliferation. The loss of PLEKHA7 may therefore be a crucial step in promoting the uncontrolled growth of cancer cells, through the loss of the PLEKHA7-microprocessor complex, and the disregulation of the E-cadherin/p120-catenin complex (Kourtidis et al, 2015).
More recently, we discovered new members of the WW-PLEKHA family of proteins which, tiogether with PDZD11, are important for the regulation of the localization of the Menkes copper ATPase ATP7A at the cell periphery and for cellular copper homeostasis (Sluysmans et al, 2021 Front. Cell. Biol; Sluysmans et al, 2021, Mol. Biol. Cell).
Questions and some current projects
Despite all our knowledge about the molecular composition of vertebrate cell-cell junctions, we only have partial answers to several important questions: What network of signalling mechanisms control the expression and junctional recruitment of specific junctional proteins? What proteins have essential or redundant functions? How do cell-cell junctions participate in the control of cytoskeletal remodeling, gene expression, differentiation, and proliferation in epithelial cells?
Our current research addresses these questions, by focusing on TJ and adherens-junction-associated proteins cingulin, paracingulin, and PLEKHA7, and their interacting partners. Ongoing projects include:
1.Functions of cingulin, paracingulin, ZO-1 and WW-PLEKHA-PDZD11 complexes at the subcellular, cellular, and tissue levels. We are using cultured cell lines where we either knock out by CRISPR-Cas9 methods one or more genes, or up-regulate specific domains (either to rescue phenotypes or to obtain dominant-negative effects).
2.Characterization of KO mice. A major effort in the lab is to generate mice with floxed and knockout alleles of our proteins of interest, and characterize their phenotype. One question is to ask whether phenotypes observed in cultured cells are reproduced in epithelial cells from epithelial organs. Studies on mice are essential to validate the physiological relevance of mechanistic hypotheses derived from studies on cultured cells, and to establish the function of proteins within the context of a whole organism. They can also help to identify new, unknown functions of our proteins.
3.Mechanoregulation at TJ. We discovered that ZO-1 responds to actomyosin tension and heterodimerization by switching between stretched (extended) and folded conformations. The stretched conformation is promoted by higher actomyosin tension and heterodimerization with ZO-2, and leads to the junctional recruitment of the transcription factor DbpA and the TJ membrane protein occludin. We proposed (Current Biology, 2017) that this is a new mechanism through which mechanical inputs regulate tissue homeostasis and cell proliferation. We are now identifying new targets and effectors and mechanisms of mechanoregulation at TJ and AJ. In 2022 we discovered a role of cingulin in the conformation of ZO-1. Cingulin binds to the ZU5 domain of ZO-1 and promotes its extended conformation, resulting in stabilization and accumulation of ZO-1 at tight junctions. In 2023, we discovered that cingulin and paracingulin tether myosins-2 to apical junctions. By tethering NM2B to ZO-1, cingulin mechanoregulates ZO-1 conformation, tight junction membrane tortuosity and apical membrane stiffness. By tethering NM2s, paracingulin maintains the linear integrity of the zonula adhaerens.
Ultimately, exploring these questions will contribute to clarifying how junctional proteins contribute to cell, tissue and organ physiology and pathology.
Different images showing the localization of PLEKHA7 in sections of epithelial tissues, with or without labeling with different junctional proteins of Adherens or Tight junctions (see Pulimeno et al, 2010) .