GROUPE BOEHNCKE
Service de dermatologie et vénérologie
Laboratoire du Prof. Wolf-Henning Boehncke
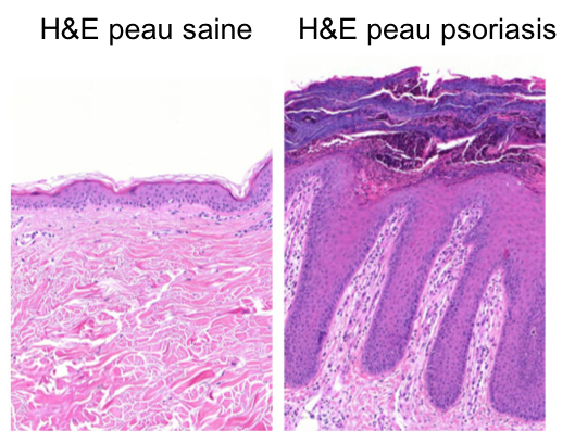
Notre laboratoire vise à définir les mécanismes moléculaires et biochimiques à la base des maladies inflammatoires de la peau, en prenant le psoriasis comme pathologie de référence.
Le psoriasis est une maladie très fréquente (environ 2-3 % de la population), qui débute généralement tôt dans la vie et évolue en maladie chronique. L'aspect inesthétique des lésions provoque fréquemment des problèmes psychologiques. Le psoriasis est également reconnu comme facteur de risque pour plusieurs comorbidités (troubles associés à la maladie), notamment la dépression, le diabète et les maladies cardiovasculaires.
Les interactions entre les cellules du système immunitaires et les cellules résidentes de la peau (les kératinocytes et les cellules endothéliales) jouent un rôle clé, mais encore peu connu, dans le développement du psoriasis et de ses comorbidités.
Notre laboratoire étudie en détail ces interactions, à l’aide d’une grande variété de techniques de biologie moléculaire (extraction d’ARN, PCR en temps réel), de biochimie (Western Blot, ELISA, Luminex) et de biologie cellulaire/immunologie : culture de cellules primaires (leucocytes et kératinocytes), tri cellulaire magnétique, cytométrie en flux, immunohistochimie, immunofluorescence. Pour certains projets, nous utilisons également des souris qui nous permettent d’étudier l’inflammation cutanée.
