27 avril 2022 - UNIGE
La rétine n'est pas épargnée par le SARS-CoV-2
La liste des atteintes causées par une infection au SARS-CoV-2 s’allonge et inclut désormais la rétine. C’est ce qu’avance une étude prospective des HUG et de l’UNIGE.

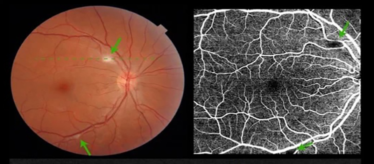
Les examens menés par l'équipe de recherche ont révélé des taches blanches sur les rétines dans 11 % des cas. (c) HUG
La liste des atteintes causées par une infection au SARS-CoV-2 s’allonge et inclut désormais la rétine. C’est ce qu’avance une étude prospective des Hôpitaux universitaires de Genève (HUG) et de l’Université de Genève (UNIGE), en collaboration avec le Centre de recherche clinique en opthalmologie du Mémorial Adolphe de Rothschild, en révélant que 11% des personnes hospitalisées pour une détresse respiratoire due à la maladie COVID-19 présentent des atteintes rétiniennes. Cette étude est à découvrir dans la revue Journal of clinical medicine.