Foti group publishes an article highlighting the importance of miR-21 in fatty liver disease development

The group of Prof. Michelangelo Foti recently published a research article entitled “Stress-activated miR-21/miR-21* in hepatocytes promotes lipid and glucose metabolic disorders associated with high-fat diet consumption” in the journal GUT. The article was Ph.D. student Nicolas Calo’s first publication as the primary author (GUT, 2016, doi: 10.1136/gutjnl-2015-310822).
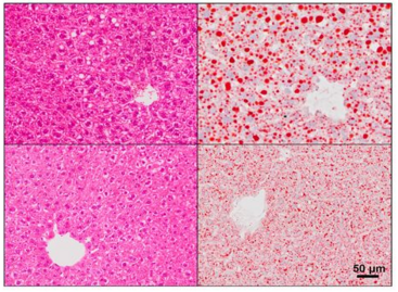
Fatty liver (steatosis) is a disease state often associated with obesity and diabetes. It represents the first step towards the development of more severe hepatic disorders (inflammation and fibrosis) and cancer. MicroRNAs (miRNAs) are small RNA molecules naturally produced by cells that are capable of regulating the expression of many genes in concert to fine tune cellular function according to the body’s needs. miR-21 and its antisense partner miR-21* are miRNAs that are often upregulated in inflammation and cancer. In the liver, the group of Prof. Foti has previously found that miR-21 is already strongly increased with steatosis. In this study, Calo et al. further show that genetic removal of miR-21 and miR-21* in mice, either in the whole body or only in hepatocytes, does not lead to any phenotypic alterations in mice bred under normal conditions. However, when mice are fed an obesogenic diet, miR-21/miR-21* deletion significantly reduced the development of a fatty liver and glucose intolerance in mice. At the molecular level, miR-21 and miR-21* deletion led to changes in the expression of master transcriptional regulators of glucose and lipid metabolism, consistent with the metabolic improvements observed in miR-21/miR-21*-deficient mice fed with high fat containing diets. This study shows that miR-21 and miR-21* may represent attractive targets for developing therapies against fatty liver disease and their progression towards more severe stages of the disease and cancer.
A commentary about this study was published in the same issue of GUT (Benhamouche-Trouillet S and Postic C, GUT, 2016, doi: 10.1136/gutjnl-2015-310044)
Posted by: P. Nunes-Hasler
22 Jul 2016