Enseignement postgradué

(MAS en médecine dentaire avec spécialisation en médecine dentaire reconstructrice et spécialisation fédérale)

  

Master of Advanced Studies en médecine dentaire reconstructrice

Les médecins-dentistes diplômé-es et ayant déjà une certaine expérience de la pratique en cabinet privé peuvent poursuivre leur formation avec un programme de spécialisation sur trois ans au terme desquels ils obtiennent, le cas échéant, un MAS en médecine dentaire reconstructrice. Ce dernier comporte également des cours de médecine dentaire générale et de statistiques qui sont dispensés deux jours par semaine lors des pauses de midi. L’évaluation est réalisée sous forme d’examens qui ont lieu deux fois par année durant deux ans. L’obtention du MAS nécessite également la rédaction d’un travail de thèse.

Spécialisation en médecine dentaire reconstructrice au niveau fédéral (titre SSO, SSRD)

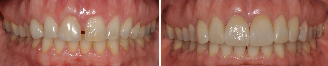
Le programme de spécialisation accrédité au niveau fédéral peut être effectué en parallèle au MAS et il dure trois ans. Afin d’obtenir le titre de spécialiste en médecine dentaire reconstructrice, le/la candidat-e doit présenter huit cas cliniques complexes de prothèse fixe documentés. Il/Elle doit également prendre part aux travaux de recherche de la division et figurer en tant qu’auteur-e secondaire dans une publication scientifique. Cette formation comprend des journées de clinique avec soins aux patient-es nécessitant des réhabilitations globales complexes sous la supervision d’un-e maître assistant-e qui sera présent-e lors de l’élaboration du plan de traitement et des chirurgies. Deux demi-journées sont consacrées à l’encadrement des étudiant-es de Bachelor ou de Master, ainsi qu’une après-midi à la revue de littérature et aux présentations de cas. Certaines plages sont encore réservées à la recherche et plusieurs colloques interdisciplinaires prennent place dans le courant de la semaine. (Pour plus d’informations : https://www.ssrd.ch/fr/).

MAS en technologie dentaires numériques (Digital Dental Technologies)

La Division propose également un programme de formation continue diplômant. Il s’agit d’un nouveau programme unique, en anglais, effectué sur quatre semestres mais à temps partiel et qui permet à des médecins-dentistes travaillant en cabinet privé de se mettre à niveau sur les dernières technologies digitales utilisées en médecine dentaire. Une matinée par semaine est consacrée aux présentations de cas et aux discussions à distance. Deux fois par semestre, durant une semaine, les participant-es sont invité-es à se rendre à Genève afin d’expérimenter ces technologies en pratique auprès de professionnels/elles actifs/ives à la CUMD.

Informations complémentaires ici.