Bloquer l’inflammation pour soigner les maladies métaboliques du foie

Les maladies métaboliques du foie (MASLD et MASH) touchent aujourd’hui une proportion croissante de la population mondiale. Souvent silencieuses à leurs débuts, elles peuvent évoluer vers des formes graves comme la fibrose ou le cancer. Si l’accumulation de graisse marque le point de départ, c’est l’inflammation chronique qui agit comme moteur de la progression. Cibler les mécanismes inflammatoires apparaît donc comme une stratégie prometteuse pour freiner la progression des maladies métaboliques du foie.

 

Réduire l’inflammation pour ralentir la progression de la maladie

Chez les patients atteints de maladies métaboliques du foie, l’interleukine-18 est élevée, tout comme sa protéine de liaison IL-18BP, qui en neutralise l’activité pro-inflammatoire. Dans leur récent article paru dans Hepatology Communications, les scientifiques du laboratoire du Pr Jornayvaz ont cherché à mieux comprendre le rôle de l’IL-18BP dans la progression de la maladie. À l’aide de modèles murins (collaboration avec le Pr Cem Gabay), l’équipe de recherche a pu démontrer qu’elle a un effet protecteur sur le foie en limitant l’inflammation induite par une alimentation riche.

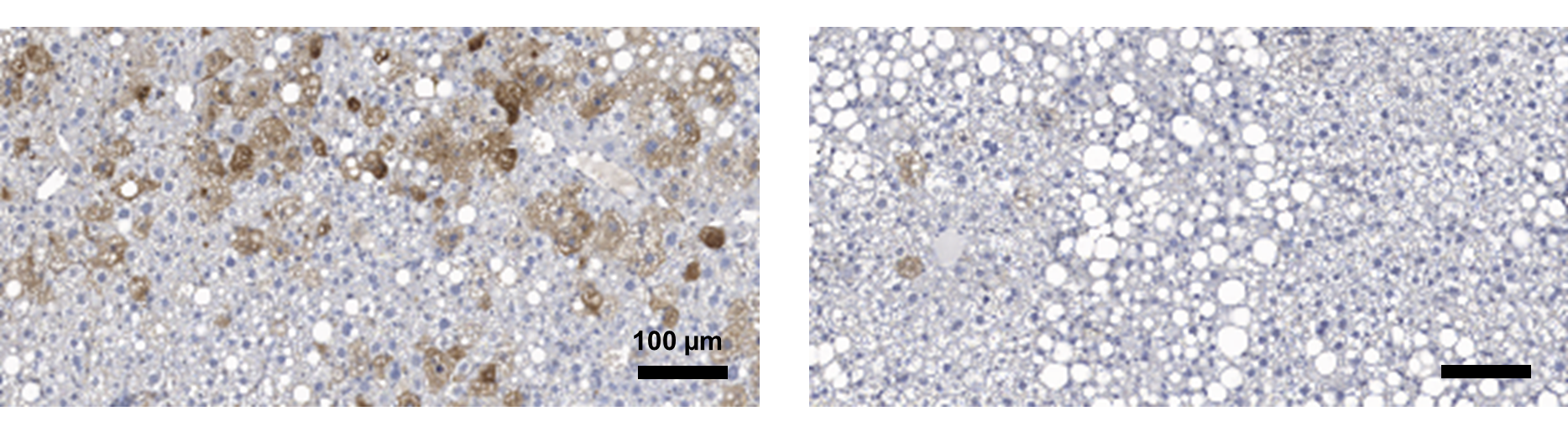
L’absence de la protéine de liaison IL-18BP provoque une inflammation, visible en marron sur l’image de gauche en comparaison avec des individus sains (image de droite). © Adapté de la  Figure 2 dans Somm et al. 2025 Hepatol Commun.

 

Et au-delà du foie ?

L’IL-18 et sa protéine de liaison IL-18BP n’agissent pas uniquement dans le foie, mais aussi dans d’autres organes, comme l’intestin. Afin de découvrir les mécanismes en action, les scientifiques de l’UNIGE en collaboration avec l’équipe du Pr Jacques Schrenzel des HUG ont étudié le microbiote intestinal des souris dépourvues d’IL-18BP. Leurs résultats publiés dans la revue JHEP reports montrent que l’IL-18BP limite la progression des troubles hépatiques en agissant sur le microbiote intestinal. L’absence de l’IL-18BP diminue les défenses anti-bactériennes de l’intestin et augmentent l’abondance de certaines bactéries délétères qui vont contribuer à l’inflammation hépatiques.

 

Implications futures

En neutralisant spécifiquement l’IL-18, l’IL-18BP pourrait atténuer la cascade inflammatoire et réduire les dysfonctionnements associés aux maladies métaboliques du foie. Cette approche ouvre la voie à de nouvelles perspectives thérapeutiques pour limiter la progression vers la fibrose et le cancer hépatique.

 

Autres recherches menées au sein du Département

Actualités
6 janv. 2026

Actualités