Cryo-sectioning and immuno-gold labelling TEM
Principles: Tokuyasu technique
Ultra-thin cryo-sections (50-70 nm) of aldehyde fixed, cryo-protected (sucrose infiltration) and vitified (liquid nitrogen) biological sample prepared by cryo-ultramicrotome are used to localize protein (antigen) of interest by immuno-gold lebeling protocol using electron dense colloidal gold coupled to secondary antibody at the subcellular level.
Tokuyasu K. (1973): A Technique for ultracryotomy of cell suspensions and tissue. J. Cell Biol. 57 (2): 551-565
Application:
Protein (antigen) localization at the ultrastructural level by presence of electron dense colloidal gold particles of discrete size (e.g. 5, 10, 15, 20, ... nm).
Method: cro-ultramicrotomy
- Small piece (1 - 2 mm3) of tissue or cell pellet are chemically fixed with 2% paraformaldehyde and 0.2% glutaraldehyde in 0.1 M phosphate buffer pH 7.4 for 2 h at room temperature (or overnight at 4 °C).
- Embedding in 12% gelatine in 0.1 M phosphate buffer pH 7.4.
- Cryo-protection by infiltration into 2.3 M sucrose in 0.1 M phosphate buffer at 4 °C overnight.
- Mounting on cutting aluminum pin and freezing in liquid nitrogen.
- Cryo-ultamicrotome pre-cooled to -100 °C for cutting face trimming.
- Ultrathin sections of 50 - 70 nm are cut at -120 °C.
- Transfer of frozen sections from cryo-knife to EM grid on nearly frozen drop of methylcellulose/sucrose inside the loop.
- Grids with sections in methylcellulose/sucrose can be stored in sealed container in fridge for later immuno-gold labelling procedure.
Method: immuno-gold labelling
- Washing out traces of gelatin from thawed sections by incubating on drop of 2% gelatin in PBS for 10 min and 0.2% gelatin in PBS for 10 min at 37 °C.
- Quenching free aldehydes with 0.1% glycine in PBS for 2 × 2 min.
- Blocking nonspecific binding sites with blocking buffer: 0.1% BSA in PBS for 2 × 2 min.
- Primary antibody binding (5-10 µL droplet/grid) diluted in 1% BSA in PBS for 1 h.
- Washing with blocking buffer for 4 × 2 min.
- Secondary antibody binding (Protein A or IgG coupled with colloidal gold) diluted in 1% BSA in PBS for 1 h.
- Washing with blocking buffer for 2 × 2 min.
- Washing with PBS only for 4 × 2 min.
- Stabilizing bound antibodies by incubation with 1% glutaraldehyde in PBS for 5 min.
- Washing with PBS for 2 × 5 min and with ddHO for 6 × 1 min.
- Contrasting section with 2% uranyl acetate oxalate pH 7 for 5 min.
- Stabilizing and embedding sections into thin film of 2% uranyl acetate/methylcellulose mixture (loop method)
Notes:
- Facility only accepts FIXED SAMPLE: users responsibility to properly fix the sample(s) after disscussed and advised with PFMU staff
- Mild aldehyde fixation (2 - 4 % paraformaldehyde with traces of 0.2 - 0.5 % glutaraldehyde) is requered to preserve the antigenicity and the antibodies recognize and bind to specific antigen
- Sucrose infiltration cryo protect sample to minimize any damage by freezing in liquid nitrogen
- Frozen sample is cut on ultramicrotome equipped with cryo-chamber conncted to dewar with liguid nitrogen and cryo-diamond knife and whole chamber are kept at -150 °C
- Frozen sections are transferred to EM grid and thawed to the room temperature and subjected to immuno-gold labelling protocol. Wet sections significantly increase immunolabelling efficiency while antibody can diffuse deeper into the sections and recognize and bind to the antigen
- Finally, sections are post-stained with uranyl acetate and embedded in stabilizing thin layer of methyl cellulose prior TEM imaging
- Immuno-gold labelling protocol is not universal, wide range of modifications depending on used antibodies, antigens, blocking solutions additives has been published
- Antibody dilution has to be determined (e.g. dilution used for IFA should be at least 10× more concentrated in case of immuno-EM)
Gallery of different samples prepared for cryo-sectioning and/or immuno-gold labelling
ER of HELA cell with antiGFP signal |
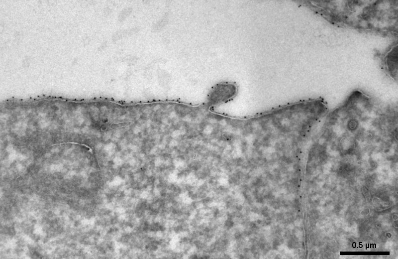
Plasma membrane labelling of HEK cell |
|
|
|
|
|



